Dental Life Seminar Study Club provides courses to young dentists with an interest in and desire to perform top level partial and complete denture procedures that satisfy both themselves and their patients. The series of courses cover not only removable prosthodontics, but also TMJ diagnosis and treatment, how to build the team necessary to support their efforts, and how to make sure their high level of dentistry is predictable and profitable. While the study club is meant to mentor young dentists, the courses are geared to all dentists that want to provide high level prosthodontics to their patients in a predictable and profitable way.
**TICKETS FOR 2026 COURSES ARE NOW AVAILABLE. SPACE IS LIMITED.**
Courses
-

Denture Bootcamp
July 21-22, 2023
$1,200 (Bring your dental assistant and/or lab technician at no extra charge!)
Join us for a comprehensive complete dentures course or “DENTURE BOOTCAMP!” Updating the Branching Technique from Pound to Turbyfill to Cassidy, it’ll be a hands-on weekend of Flow-Cast, complete with a live patient!
-
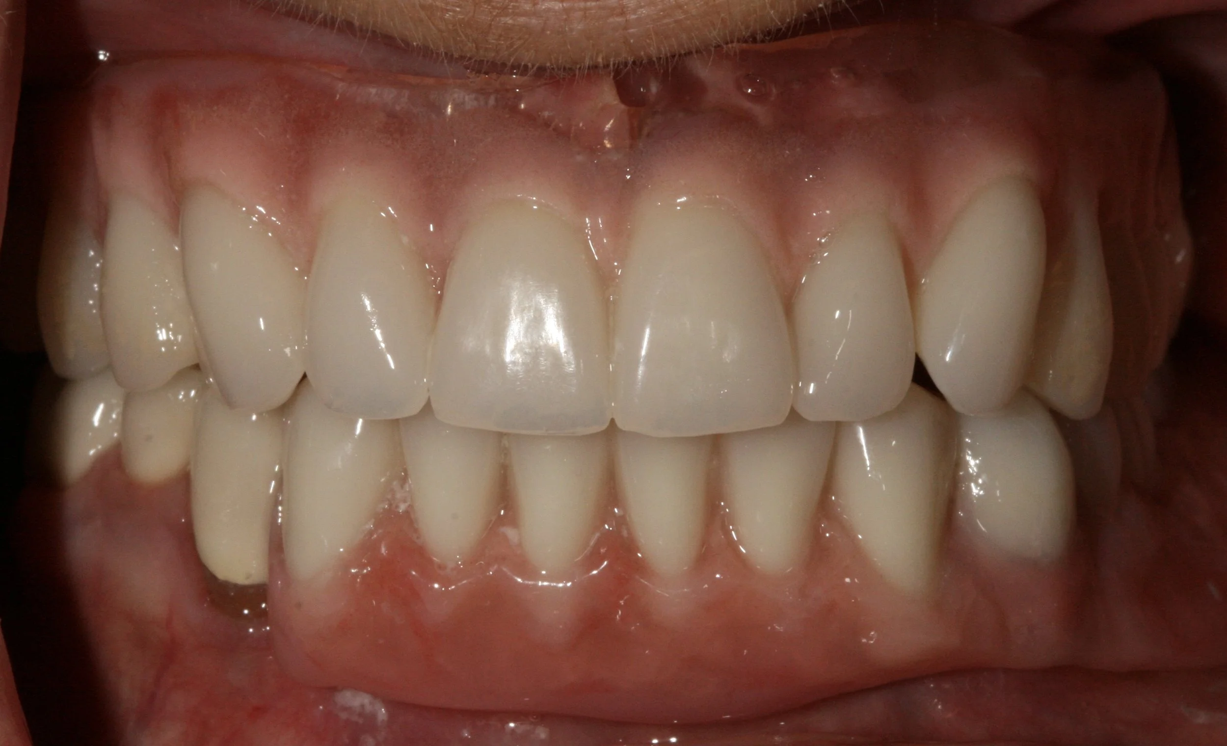
The Lost Art of Fixed-Removable Dentistry
TBD
$1,200 (Bring your dental assistant and/or lab technician at no extra charge!)
Join us for a principle-centered approach to fixed-removable dentistry using case documentation.
-

The New Patient Exam & Diagnosis & Treatment of the TMJ Patient
September 22-23, 2023
$1,200 (Bring your dental assistant and/or lab technician at no extra charge!)
Come learn predictable ways to diagnose and manage TMJ/TMD patients. A diagnosis protocol will be presented using JSR joint screening and recording. Using splint therapy and splint fabrication to achieve predictable results will be covered.
There is no special sequence of courses. Take the course you need, when you need it. Our courses are two days, Friday and Saturday, at our teaching facility in Macon, GA. Each two-day course is $1,200. Come courses will include hands-on techniques and patient participation. We encourage feedback as we expand our courses so that we are meeting your needs. CE credits through the GDA and ADA will be available.